Cosmetic Dentistry Los Algodones
Affordable Care
Stunning Results
- A team of dentists
- A safe dental clinic
- A relaxing atmosphere
- Advanced technology


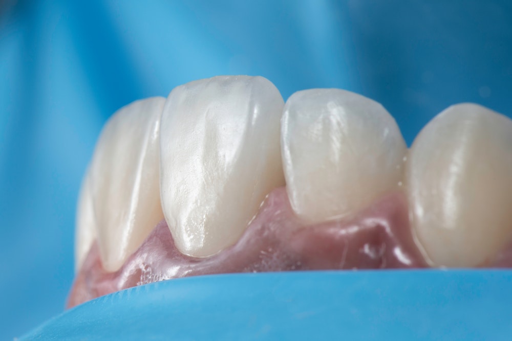
This patient came to our dental clinic with misaligned, discolored teeth. Our team used cosmetic crowns made from durable IPS e.max® to create a result that looks completely natural and blends in with the patient’s features. We can design a smile for you based on your preferences, budget, and facial appearance.
Making a Difference
Skilled Professionals
Dr. Eva Urena is an implant specialist who completed a continuing education course in dental implants at Harvard School of Dental Medicine. She also completed an implant certification course at the Nobel Biocare Headquarters. Dr. Aidee Lopez Gastelum is a prosthodontist who has completed several certifications in cosmetic dentistry.
Affordable Prices
Cosmetic dentistry services in the United States and Canada can have prohibitive costs, but you shouldn’t have to live your life with a smile you don’t love. Patients looking for affordable care travel to Mexico to receive quality procedures at affordable rates.
Safe Location
Patients from the U.S. and Canada often wonder if receiving cosmetic dentistry in Los Algodones, MX, is safe. We can assure you that it is! Los Algodones relies on dental tourists contributing to our economy so they have every incentive to provide safe and friendly service.
Put a Credible Team on Your Side
Our team is made up of Dr. Eva Urena, an implant specialist, and Dr. Aidee Lopez Gastelum. Together, they can address the full range of your concerns. Patients throughout the U.S., Canada, and Mexico choose our dynamic team because we:
- Can communicate with patients in both English and Spanish
- Have completed advanced training in both the United States and Mexico
- Have become a trusted presence in the Los Algodones community since opening our doors in 1998
If you’re ready to put our team of professionals on your side to restore a beautiful smile, request a consultation at our Los Algodones dental office today.

“Hard to find an office like this!”
“Dental work here w Dr Eva is excellent. I have had so many procedures. Dr and her team are professionals 100%. You should take yourself to this office and encourage your friends bc it’s hard to find an office like this! Americans are focused on the $ and Dr Eva is focused on her work and encouraging you to be your best!”
-Katherine Hipp, 2024

Paying for Your Dental Care
When you choose our dental clinic in Los Algodones, you’ll benefit from high quality services at affordable prices. When it’s time to pay for your cosmetic upgrade, you can choose cash, check, Venmo, or Zelle.
Our Cosmetic Dentistry Treatments

Teeth Whitening
Teeth whitening is a straightforward procedure that can whiten your smile by several shades. It’s also commonly combined with other treatments in a smile makeover plan that addresses several cosmetic concerns at once.

Dental Crowns
While dental crowns are often used in restorative dentistry to fix decayed or damaged teeth, they can also be used for aesthetic purposes. A cosmetic crown can cover a misshapen tooth that affects the symmetry of your smile.

Porcelain Veneers
Porcelain veneers are tooth-colored shells applied to the front surfaces of teeth to conceal flaws like chips, cracks, gaps, and discoloration. Our dentists can place a single veneer to conceal a problem tooth or several veneers to upgrade your entire smile.

Dental Bonding
Our cosmetic dentists can apply a composite resin material to your teeth to conceal discoloration, fix chips, reshape a tooth, and more. Dental bonding can do many of the same things as veneers but at a lower price point.

Dental Implants
If you have missing teeth, Dr. Eva Urena can place dental implants and create lifelike restorations to restore your smile. Implant-supported crowns, bridges, and dentures can fill the gaps in your smile, restoring both function and appearance.
Cosmetic Dentistry FAQ
Does insurance cover cosmetic dentistry?
Insurance won’t contribute to the cost of procedures that are only for cosmetic purposes, but it may contribute to dental treatments that have restorative purposes, like a crown that balances your bite.
Who’s a good candidate for cosmetic dentistry?
Patients in good oral health who have cosmetic flaws are good candidates for treatment. If you currently have oral health concerns, we can provide you with treatment to create a solid foundation for cosmetic dental work. If you use tobacco products, we recommend quitting before your treatment to protect your investment.
How long does cosmetic dentistry take?
It depends on the treatment. Dental bonding and teeth whitening are straightforward procedures that take just one visit to our office. Veneers and crowns may require two appointments over a few weeks. Dental implants require three to six months, as there is a lengthy healing period involved.
Do you use advanced technology?
Our dentists have integrated some of the most advanced systems into our practice to provide our patients with consistently stunning results. For example, most of our patients receive digital impressions with our Medit intraoral scanner for comfortable and precise planning. We also offer digital dental design.
Do you speak English?
Yes! Our staff members speak English so your care plan can be communicated to you in your native language. Additionally, many locals are bilingual so if you venture out, you can enjoy yourself without worrying about language barriers.
Have Another Question?
“Look good
and feel good.”
“Great Dentist and office staff. All were very professional and personable. Dr. Urena did a deep cleaning and placed crowns on three different teeth. They all look good and feel good. It's really great to find a dental office that does quality dental work at a reasonable price. Thank you all. I highly recommend this office.”
-Larry Youngman, 2024







